| zurück Home | intrahepatisches Gallenwegs - Karzinom, CCC, IHCC | ||
Allgemeines |
| ||
| Epidemiologie | |||
| Prognose | Das mediane Überleben inoperabler Patienten beträgt 7 - 12 Monate. | ||
| Klinik | |||
Metastasierung | |||
| TNM - Stadien | |||
| Diagnostik | 70-jähriger Mann mit unklaren Oberbauchbeschwerden rechts. Klinisch vergrößerte Leber tastbar. Metastasen in BWK 8, Lunge und abdominalen sowie mediastinalen Lymphknoten. Leberbiopsie: Invasives Adenokarzinom, intrahepatisches Cholangiokarzinom. Das CT zeigt eine über 10 cm große Raumforderung im rechten Leberlappen. ![]() |
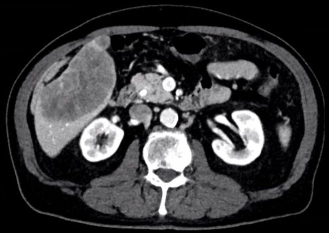
75-jähriger Mann mit Herdbefund in der Leber. Nach Kontrastmittel ist der Herd in der arteriellen Phase hypodens. ![]() | |
| Diagnostik | 67-jähriger Patient, der vor 3 Jahren ein Rektum-Ca im Stadium cT3 cN1 cM0 hatte. Vor 2 Jahre unklarer Leberherd, der jetzt an Größe zugenommen hat. Nach Resektion der Lebersegmente V und VI ergab sich ein cholangiozelluläres Karzinom pT1 G1. 05/16 CT ohne KM : V.a. HEP ![]() |
Histologie: knotige und solide Tumorinfiltrate aus rundlichen und länglichen, z. T. verzweigten Tumordrüsen mit mäßiger Zell- und Kernpolymorphie. Einreihige Epithelschichtung. Vergrößerte, z. T. übereinander gelagerte Zellkerne mit prominenten Nukleolen. Vermehrt Mitosen. Exprimieren Zytokeratin 7 und kleinherdig Zytokeratin 20. CEA und CDX 2 sind negativ. Gut differenziertes tubuläres Adenokarzinom. ![]() | |
| Morphologie | |||
Therapie |
|||
Operation |
Die chirurgische Resektion ist die einzige potentiell kurative Therapie. Ca. 30% sind operabel. | ||
Externe Radiatio |
|||
Chemotherapie |
Gemcitabin - Cisplatin | ||
Target |
FGFR2-Rearranged | Futibatinib | FOENIX-CCA2 Study(1) |
transarteriale Chemoembolisation | |||
Thermo-Ablation |
|||
intra-arteriale Y90- Microspheren |
|||
Ergebnisse | |||
Teil von |
Gallenwegs - Karzinom | Gastro - Intestinale Tumore | |
| Quellen |
1.)Goyal l, et al. for the FOENIX-CCA2 Study Investigators: Futibatinib for FGFR2-Rearranged Intrahepatic Cholangiocarcinoma. N Engl J Med 2023;388:228-39. DOI: 10.1056/NEJMoa2206834 | ||
Impressum Zuletzt geändert am 07.02.2023 17:25