| zurück Home | Magen - Karzinom: Metastasen | ||
| Allgemeines |
|||
| große Kurvatur | Magenkarzinom an der großen Kurvatur mit
Lymphknotenmetastasen. Ausgedehnte Lebermetastasen.![]() | ||
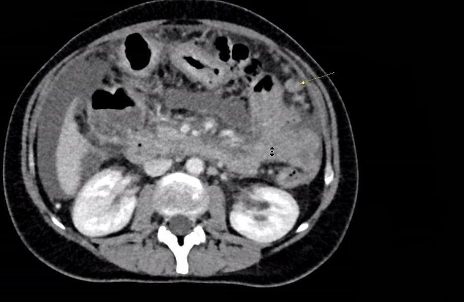
| Peritoneum | 43-jährige Frau mit fortgeschrittenem Magenkarzinom. Knotenveränderungen an der inneren Bauchwand (gelber Pfeil) sprechen für eine Peritonealkarzinose. Links: deutlicher Aszites.![]() | ||
| Leber | 66jährige Frau nach Gastektomie: Lebermetastasen.![]() |
50-jähriger Mann mit primär hepatisch und
pulmonal metastasiertem Antrumkarzinom.![]() | |
| Lunge | 75jährige Frau mit Magenantrumkarzinom. Miliare
pulmonale Aussaat.![]() |
50-jähriger Mann mit primär hepatisch und
pulmonal metastasiertem Antrumkarzinom.![]() | |
| Knochen | 36-jähriger Mann, der vor 2Jahren wegen eines blutenden "Ulkus" übernäht wurde.
Jetzt fortgeschrittenes Magenkarzinom. Gastektomie, Lymphonodektomie, Splenektomie,Ösophagojejunostomie,Y-Roux -Anastomose nach FLOT -Chemotherapie.
Das MRT zeigt Wirbelmetastasen.![]() |
![]() | |
| Nebennieren | 57-jähriger Mann mit G3-Adenokarzinom der ösophago-gastralen Übergangs. Lungenmetastasen, Pleuraerguss beiderseits, Ascites, Percarderguss. Große Nebennierenmetastasen beiderseits.![]() |
||
Quellen |
1.) | ||
|
| |||
Impressum Zuletzt geändert am 08.10.2015 17:06